
During this repeat pregnancy scan, I looked for heartbeats and movement from each puppy. All look very healthy, and I was able to use my Doppler to examine blood flow

Sass (British Longhair), Nancy and Paloma (both British Shorthairs) are beautiful, fantastically behaved show cats, living in Downham. All three are pregnant, and their ultrasound videos are shown in order

Wire haired fox terrier day 35 (40 days from last tie) good example of how sperm can hang around awhile before fertilisation occurs . Gestational sacs developing well just not

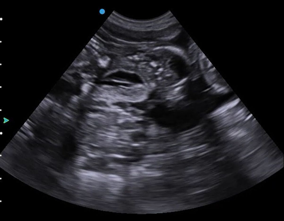
Daisy returned for a repeat scan, now late into her pregnancy. All of her puppies look strong and healthy, with plenty of movement!

Betty sadly lost one kid a few days ago, but was later showing signs of early labour, so I went to check for a second kid. Sadly, no heartbeat was

Owner came in adamant her girl wasn’t in pup as she had missed last 2 seasons and no signs ,cytology ai done here she was gobsmacked

owner was convinced bitch weren’t in pup so shocked on scan cytology and a.i. done here

I was lucky enough to scan a beautiful Stabyhoun today, at around 31 days pregnant. It is very difficult (and inadvisable) to estimate numbers with ultrasound, but we definitely saw

Daschund and Maltese scans following cytology and a.i. here at the clinic

This was a routine confirmation scan, but done later than usual as my client also had a bitch 4 weeks from mating to scan at the same time. The foetuses

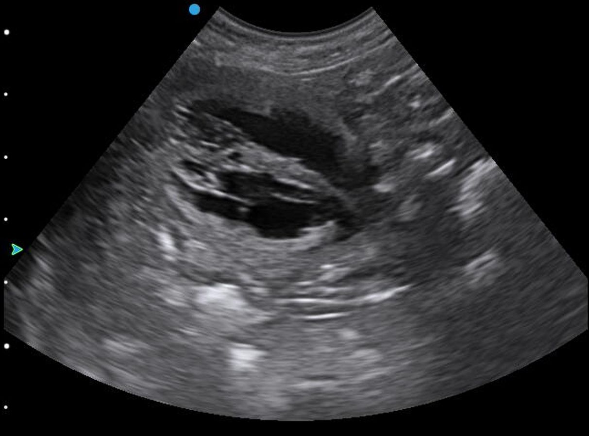
This beautiful chihuahua is around 30 days pregnant, with at least four healthy puppies seen. We saw the flicker of heartbeats in each sac, and lovely clear amniotic fluid inside.

Scan from my Apogee Lite, I can take photos on machine & videos which of course can be sent to my clients.
© 2025 | AUA – All Rights Reserved