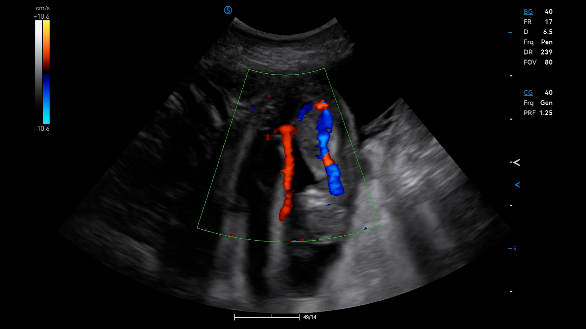
Seven the Frenchie came today for her first pregnancy scan, here at our ultrasound lab in Bromley. We saw between 5-7 very active pups (but wouldn’t 7 just be perfect!).

Alpaca Pregnancy Ultrasound Scans
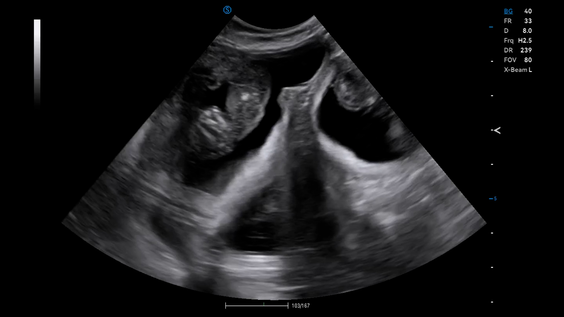
We confirmed 8 pregnancies today in Maidstone, Kent. Most of them were between 50 – 70 days, and it is surprising how tiny the foetus still is even at that

