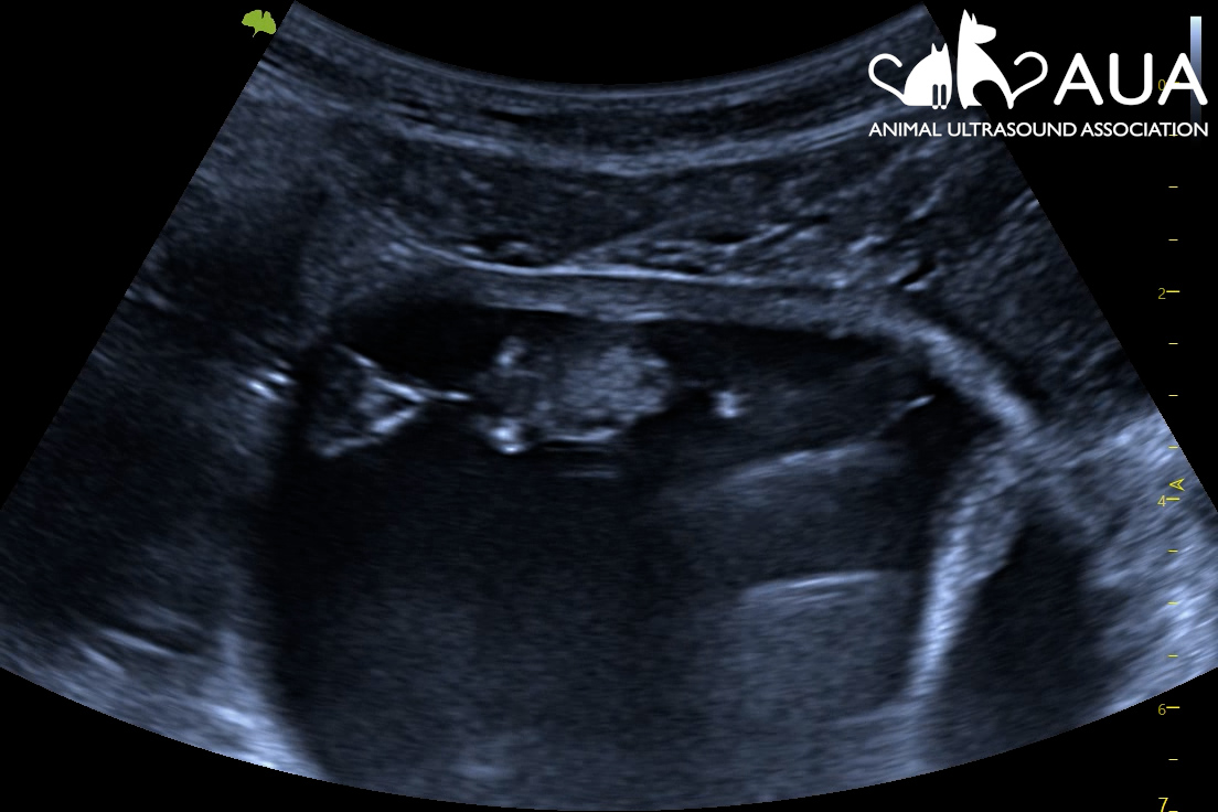
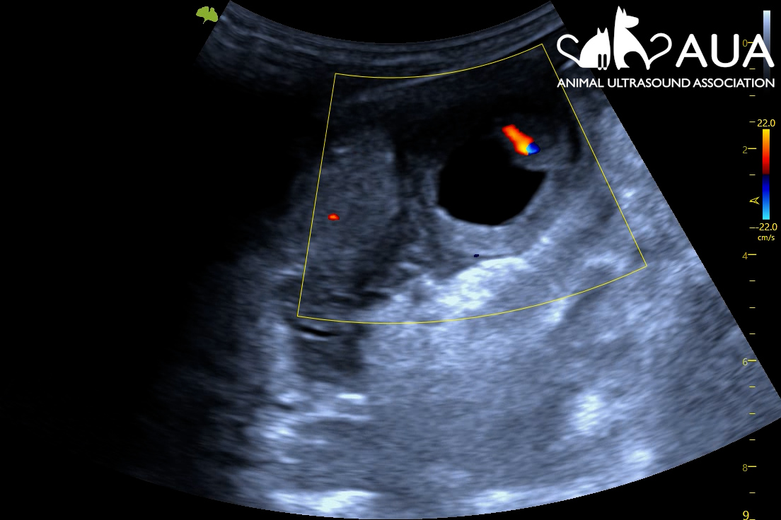
We confirmed 8 pregnancies today in Maidstone, Kent. Most of them were between 50 – 70 days, and it is surprising how tiny the foetus still is even at that stage of gestation. A human foetus at the same gestational age is about 8x larger; a feline fetus, 14x larger! Hence, when scanning you find yourself searching for a pea-sized foetus in a relatively large animal with a large, fluid-filled uterus. This involves moving your transducer along the uterine horns, and fanning back and forth, to try to spot a hiding future cria. At times, this is easier said than done, as alpacas are not always the most still and cooperative when having their abdomens touched.
We initially tried scanning them by moving the scanner to wherever they were being held, but we discovered this was a risky strategy as we dodged kicks and continually wiped alpaca spit and kicked dust off the machine. In the end, we managed to use the metal fencing to create a triangular pen for each alpaca to stand in, with me scanning through the bars. As well as containing them, this also seemed to calm them and make the experience less stressful for them.


