Pulmonary stenosis is one of the most common types of canine congenital heart disease, and should be ruled out in all young dogs with heart murmurs. Pulmonary stenosis or right ventricular outflow tract obstruction should also be ruled out in animals with any kind of right heart hypertrophy or dilatation. Personally, I take a CW Doppler trace through the pulmonary valve on every examination. It’s quick, it’s easy, and it’s important to rule out in so many conditions that it makes sense to do it at the same time that I am already at the parasternal short-axis view.

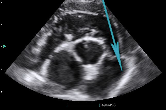
Above: The parasternal short axis view at the level of the aortic valve. Your CW Doppler beam should follow the path of the arrow – through the RVOT and pulmonary valve.
You can rule out pulmonary stenosis or outflow tract obstruction through visual inspection, and by using your Continuous Wave (CW) Doppler. This is most easily performed in the same view you take your LA:Ao ratio from. The leaflets of the pulmonary valve are usually well seen from this view, and should be thin and mobile. This same view is also ideal for aligning your CW Doppler beam through the valve to obtain a peak velocity. You can convert this into a pressure gradient using the simplified Bernoulli equation, 4V². The pressure gradient through the pulmonary valve should be less than 20mmHg in dogs.
It is good practice to also take a Pulsed Wave (PW) Doppler trace just before the valve, so that you can compare the two velocities, particularly in animals with low flow conditions which might otherwise lead you to underestimate the severity of the obstruction. Due to its range resolution, PW Doppler will also allow you to discern whether any stenosis you find is before, after, or at valve level.
Don’t have an ultrasound machine with CW Doppler?
Continuous Wave Doppler is essential to echocardiography. As this always means purchasing a more expensive machine and probe, it is tempting to feel that you do not need it when you first start. Once you get scanning, however, you will be held back almost immediately by your inability to quantify or even detect conditions such as pulmonary stenosis, aortic stenosis, pulmonary hypertension and aortic regurgitation.
All of our case studies are performed on the Apogee 2300, which is a cost-effective portable echocardiography machine that is easy to use, well supported, and future-proofed by its wide range of advanced features. If you are considering purchasing a machine for echocardiography and would like to run the make/model past us for our opinion or advice, we’d be happy to help. Please feel free to contact us.
Want more echo cases?
Sign up to our free newsletter here, and receive a new case study or topic in veterinary echocardiography to your email once a month.